This year on the EMOttawa Blog, our team continued to focus on clinically grounded, practical, and thoughtful emergency medicine scholarship. From procedures and decision rules to reflection and wellness, our goal has remained simple: help Emergency Physicians deliver safer, smarter, and more compassionate care.
Thanks to our engaged readers, comments, sharing, and discussion, the EMOttawa Blog surpassed over one million views in 2025, which speaks to the growing global appetite for open access emergency medicine education.
Below are the most-read posts written in 2025, with expanded summaries and high-yield pearls you can take straight back to the bedside.
Stay tuned this year – as we revamp the blog to become easier to search to find what you need as a bedside resource!Â
Fascia’s Back: The Supra-Inguinal Fascia Iliaca Block (SIFI)
This post reframes regional anesthesia for hip fractures as a core competency rather than a niche skill. It walks through anatomy, rationale, and step-by-step execution, emphasizing how the supra-inguinal approach improves coverage, patient comfort, and overall care. It highlights where the block fits within ED workflow, common pitfalls, and how to troubleshoot challenges safely and confidently.
Key teaching points:
-
Why supra-inguinal approaches may provide broader and more reliable analgesia
-
Identifying ultrasound landmarks and the safest needle trajectory
-
Strategies to avoid intravascular injection and LAST
-
Dosing considerations and collaboration with anesthesia when appropriate
-
Integrating SIFI into hip fracture pathways

These Are the ’Roids You Are Looking For: Steroids in the ED
Steroids are powerful but not benign. This post takes a thoughtful, evidence-based tour through common emergency presentations where corticosteroids are considered. It challenges reflexive prescribing, clarifies when they truly improve outcomes, highlights potential harms, and offers practical, real-world dosing strategies.
Key teaching points:
-
Distinguishing proven indications from low-value routine use
-
Choosing the right agent, dose, and duration
-
Recognizing short-term complications clinicians often overlook
-
Situations where steroids may actually worsen outcomes
-
Practical frameworks to support deliberate prescribing
Practical Management of Acute Hemoptysis
Hemoptysis frequently creates anxiety because deterioration can be sudden. This post offers a calm, structured approach grounded in early stabilization and thoughtful triage. It emphasizes prioritizing airway control, using diagnostic tools purposefully, and collaborating early with consultants.
Key teaching points:
-
Defining massive vs. non-massive hemoptysis and why it matters
-
Positioning, airway strategies, and early consultation
-
How CT, bronchoscopy, and lab work influence management
-
Practical guidance around nebulized tranexamic acid
-
Red flags that warrant ICU or interventional radiology involvement

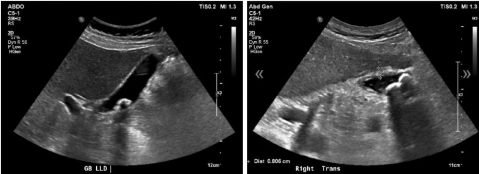
Gallbladders Gone Wild
This PoCUS-focused post goes beyond simple image interpretation and helps clinicians think systematically at the bedside. It teaches optimization techniques, pattern recognition, and common pitfalls, with the goal of improving accuracy and reducing unnecessary imaging.
Key teaching points:
-
Optimizing probe selection, depth, and gain
-
Consistently visualizing the gallbladder neck and cystic duct
-
Distinguishing true stones from artifacts
-
Recognizing secondary signs of acute cholecystitis
-
Knowing when bedside ultrasound is enough, and when it isn’t

The CODE Crew: Medications That Save the Beat
Resuscitation can quickly become chaotic when medication selection and timing are unclear. This post demystifies resuscitation pharmacology, grounding it in physiology and outcome-driven evidence rather than habit.
Key teaching points:
-
Which medications meaningfully change outcomes
-
Practical dosing pearls during stressful scenarios
-
Antiarrhythmic selection and knowing when to stop
-
How vasopressor use differs between shock and arrest
-
Communication and checklist strategies that reduce medication errors

Focus Your POCUS
Rather than focusing on pathology, this article emphasizes the foundations of ultrasound image quality. It shows how deliberate probe handling, thoughtful optimization, and awareness of artifacts can turn inconsistent scans into reliable diagnostic tools.
Key teaching points:
-
Machine settings that truly impact image clarity
-
Structured probe movement and angulation techniques
-
Recognizing and correcting artifacts
-
When to pause, reset, and restart a scan
-
Documentation habits that support quality and learning

Nailed It: A Guide to Fingertip Injuries
Fingertip injuries look simple, but poor management can lead to functional disability. This post provides a clear, step-wise approach to assessment and repair, prioritizing preservation of sensation, alignment, and cosmesis.
Key teaching points:
-
Structured neurovascular assessment and documentation
-
Imaging indications and interpretation
-
Core principles of nail-bed repair and splinting
-
When plastics or hand surgery should be consulted
-
Aftercare that meaningfully influences long-term outcomes
Snooze Control: Procedural Sedation 101
Procedural sedation lives at the intersection of anesthesia, monitoring, and emergency care. This article offers a pragmatic, safety-focused guide to patient selection, medication choice, complication readiness, and recovery.
Key teaching points:
-
Screening, risk stratification, and pre-sedation optimization
-
Matching sedative agents to patient and procedure
-
Monitoring strategies that catch deterioration early
-
Managing apnea, hypotension, and emergence reactions
-
Best practices for observation, documentation, and discharge
There Is Beauty in Medicine
This reflective piece invites readers to slow down, notice meaning, and reconnect with purpose in emergency medicine. Through narrative and perspective, it highlights gratitude, presence, and the deeply human moments that persist despite operational pressures.
Key reflections:
-
Recognizing humanity amid clinical chaos
-
Protecting empathy while maintaining boundaries
-
Re-framing difficult encounters with perspective
-
Remembering why many of us chose this profession