Journal Club Summary
Methodology Score: 3/5
Usefulness Score: 3/5
Shimony A, Filion KB, Mottillo S, Dourian T, Eisenberg MJ.
Am J Cardiol. 2011 Apr 15;107(8):1227-34
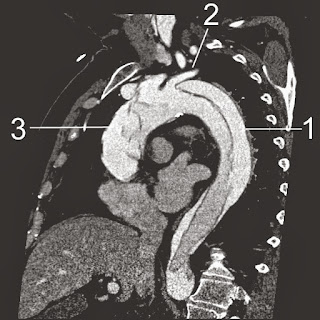
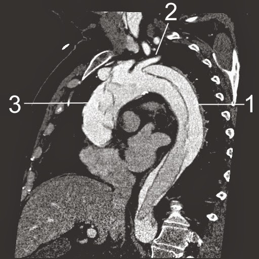
This meta-analysis of seven studies shows a pooled sensitivity (using random effects model) of 97% (94-99) negative LR 0.06 (0.03-0.12) specificity 56% (51-60) and positive LR 2.43 (1.89-3.12) for the use of D-dimer to rule out aortic dissection. The group was reluctant to recommend the use of D-dimer to rule out aortic dissection owing to poor methodologic quality of included studies, variations in D-dimer assays and a lack of validated risk stratification tools; a large multi-center prospective trial would be required for a definitive answer.
By: Dr. Michael Ho
(Presented Sept 2013)
Epi Lesson: Heterogeneity of Studies in Overviews
Heterogeneity refers to differences between patients or differences in the results of different studies and must be carefully evaluated in a meta-analysis to determine if results can be statistically pooled. The classical measure of heterogeneity is Cochran’s Q, which is calculated as the weighted sum of squared differences between individual study effects and the pooled effect across studies, with the weights being those used in the pooling method. The I² statistic describes the percentage of variation across studies that is due to heterogeneity rather than chance.
By: Dr. Ian Stiell
