Journal Club Summary
Methodology Score: 3/5
Usefulness Score: 3/5
Tsivgoulis G, Katsanos AH, Butcher KS, et al.
Neurology. 2014 Oct 21;83(17):1523-9
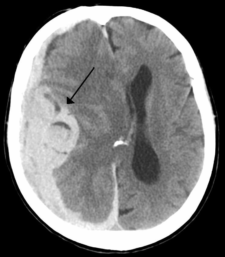
This systematic review and meta-analysis of 4 RCTs found that mortality rates were similar in patients with acute ICH randomized to intensive-BP (SBP <140) versus guideline-BP (SBP <180) control (OR 1.01, 95% CI 0.83-1.23; p = 0.914). The analysis was largely influenced by one RCT, which used an anti-hypertensive agent that is not available in Canada. Lack of clear reporting of clinically important outcomes and baseline clinical characteristics were discussed. JC attendees agreed that there was no practical or clinical advantage in the resource intensive intervention of aggressive BP reduction in acute ICH in the ED.
By: Dr. Gauri Ghate
(Presented April 2015)
Epi Lesson: Clinical vs Statistical Heterogeneity
A meta-analysis may attempt to address a compelling clinical dilemma. But one of the key questions to ask when appraising meta-analyses is whether the pooling of the included studies is appropriate. Clinical heterogeneity reflects clinical differences between study populations, the intervention, co-interventions and/or outcomes when pooling studies in meta-analysis. This is distinct from statistical heterogeneity which can be determined by visually assessing the forest plot, measuring the I2 statistic or the Cochran’s Q. Always ask yourself if the meta-analysis is combining apples with apples.
By: Dr. Lisa Calder
![By James Heilman, MD (Own work) [CC BY-SA 3.0 (http://creativecommons.org/licenses/by-sa/3.0)], via Wikimedia Commons By James Heilman, MD (Own work) [CC BY-SA 3.0 (http://creativecommons.org/licenses/by-sa/3.0)], via Wikimedia Commons](http://4.bp.blogspot.com/-cZ4kmdSqcMo/Ve2zVLXE9cI/AAAAAAAABVk/Mhbc5JGsgpg/s320/Intracranial_bleed_with_significant_midline_shift.png)