Journal Club Summary
Methodology Score: 3.5/5
Usefulness Score: 3/5
Asha SE, Miers JW. Ann Emerg Med. 2015 Oct;66(4):368-78.
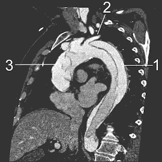
This systematic review and meta-analysis aims to determine the diagnostic accuracy of D-dimer as a rule out test for acute aortic dissection. The overall results showed a sensitivity of 98% and negative LR of 0.05 (with little statistical heterogeneity) and a poor specificity of 41.9% and LR + 2.11 (with significant statistical heterogeneity). One major limitation of this study included publication bias (file drawer effect). Until a clinically validated tool is available to accurately evaluate the pre-test probability for aortic dissection, we should be very cautious in relying in a negative D-dimer result to exclude this diagnosis.
By: Dr. Ayesha Zia
Epi Lesson:
Statistical Heterogeneity in Systematic Reviews
There is no statistical substitution to evaluating “clinical” heterogeneity. Statistical heterogeneity should only be evaluated after a clinical decision is made that study populations, interventions, and outcomes were indeed comparable, and that it is appropriate to combine study results. Cochran’s Q test is a classical measure of heterogeneity. It can be underpowered to detect heterogeneity when the number of included studies is small, and overpowered when it is large. This is not the case when using the I2 instead. A fixed effect can be used to combine studies with minimal statistical heterogeneity, whereas a random effect model should be used otherwise.
By: Dr. Christian Vaillancourt
