heart failureJournal Club Summary

Methodology Score: 3/5                 
Usefulness Score:  2.7/5
 
Martindale JL, et al.
Acad Emerg Med. 2016 Mar;23(3):223-42

Abstract Link 

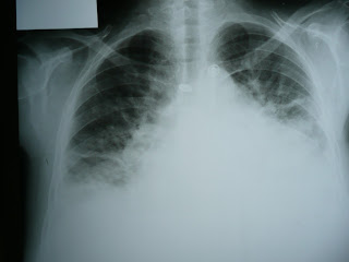
In patients presenting to the ED with undifferentiated dyspnea and a moderate pre-test probability of acute heart failure, a bedside lung U/S and echo are useful diagnostic modalities, with the caveat that there is high inter-operator variability in bedside lung ultrasound.  BNP testing, where available, can be used to help to rule out acute heart failure.  However, the study was limited by numerous methodological issues including study selection, quality of evidence, and significant heterogeneity.
By: Dr. Daniel James

 

Epi lesson:

The QUADAS-2 Tool is recommended for evaluating the quality of systematic reviews of primary diagnostic accuracy studies [as opposed to intervention studies]. QUADAS-2 consists of four key domains: 1) patient selection, 2) index test, 3) reference standard, and 4) flow and timing. Each is assessed in terms of adequate descriptions, signalling questions (i.e. consecutive or random patients, index test assessed without knowledge of outcome, ability of reference standard to correctly classify outcome, appropriate time between test and outcome ascertainment), risk of bias and the first three in terms of concerns regarding applicability. Most assessments assess risk as high/low/unclear.  Low risk of bias studies are desired.  
By: Dr. Jeff Perry

Author

Subscribe to get updated on our latest posts!

Join our mailing list to receive the latest posts from our team (once a week only!).

You have Successfully Subscribed!